HTHAYAT
BİRKAÇ KELİME YAZARAK SİZE YARDIMCI OLABİLİRİZ
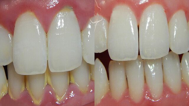
Diş tartarına doğal çözüm
Giriş: 28 Mart 2016, Pazartesi 10:24
Güncelleme: 11 Haziran 2018, Pazartesi 10:36

Dişlerinizdeki tartarlardan şikayetçiyseniz size doğal bir çözüm önerimiz var.

Malzemler

  • 40 gr ceviz kabuğu
  • 250 ml su

Hazırlanışı

Ceviz kabuğunu 20 dakika kaynatın. Ve kaynayan suyu soğumaya bırakıp üstünü kapatın. Soğduktan sonra diş fırçanızı 10 dakika bu suyun içinde bekletin. Temizlenmiş dişlerinizi bu suyla fırçalayın. Günde 3 kez kullanabileceğiniz bu suyla dişlerinizdeki tartarların azaldığını göreceksiniz.

Ceviz kabuğu antibakteriyal özelliğiyle bilinmektedir. Yüzyıllardan beri yara ve ağız, diş sorunlarının tedavisinde kullanılmaktadır. Doğadan yardım almaktan kaçınmayın...

Paylaş:
brush-purple Yorumlar
Misafir 09 Haziran 2018, Cumartesi

dişlerinizi en az hiç olmazsa 1 kez fırçalayın en önemlisi diş ipi kullanın çok faydalı yemek artıgıda bırakmaz ağızda mis nefes sigarada içmeyin şahane

Misafir 08 Haziran 2018, Cuma

limonu kabuguyla geveleyin limon kabugu suyu temuizliyor asidik oldugu icin.

Misafir 23 Ocak 2018, Salı

Böbrek taşlarını döken en iyi doğal içecek yaban mersini suyudur. Su içer gibi 3-4 gün içildiği takdirde böbreklerde hiç bir taş bırakmıyor. İlaç değildir. Su yerine içilmesi gerekiyor. 6 arkadaşım bu konuda böbrekleri temizledi. Hatta bir arkadaş ameliyatını iptal ettirdi ameliyat olmaktan kurtuldu

Misafir 09 Ağustos 2016, Salı

ya benim bobrek taşıma da iyi gelir mi :) ?

Misafir 09 Ağustos 2016, Salı

gilaburu yada yaban mersininin suyu var bir ay kullanın kalmaz taş

Misafir 19 Temmuz 2016, Salı

1 yemek kaşığı suyun içine sadece 1 damla tuz ruhu damlatın. ne kadar sarartı tartar varsa sadece 1 uygulamada hepsinden kurtulursunuz.

Misafir 14 Ağustos 2018, Salı

bunu bir komşumuz yapmıştı,kadının ağzında diş kalmadı hepsi döküldü. cehalet işte.

Misafir 09 Haziran 2018, Cumartesi

tuzruhu (hidrokorik asit) midede de bol miktarda var zaten.

Misafir 09 Haziran 2018, Cumartesi

hala bu yorumu burada tutana ne demeli̇. heeeey admi̇n denedi̇n de öldün mü yoksa

Misafir 08 Haziran 2018, Cuma

bence ekmek arası 1 tane dinemit sorunu okten cozecektır tuz ruhunada gerek kalmaz akıllı arkadasım

Misafir 23 Ocak 2018, Salı

senin lafına da yuh, denir.

Misafir 22 Ocak 2018, Pazartesi

bu yorumu kaldırın. olurda biri denemeye kalkar

Misafir 09 Ağustos 2016, Salı

tuz ruhu nedir ya, insanlar bunu ciddiye alıp zehirlenebilir, telafisi mümkün olmayan zararlar görebilir. biraz akılcı önerilerde bulunmanı tavsiye ediyorum.

Misafir 09 Ağustos 2016, Salı

tuz ruhu kuvvetli bir asittir. protezleriniz hayırlı olsun

Misafir 08 Ağustos 2016, Pazartesi

anlatığın aslı varmı

Misafir 08 Ağustos 2016, Pazartesi

canimisin insanları öldürecekmisin

Misafir 08 Ağustos 2016, Pazartesi

adam haklı beyler tuz ruhu tasıta temizler sizi de temizleler

Misafir 08 Ağustos 2016, Pazartesi

çok zararlı aklınızı mı oynattınız!

Misafir 19 Temmuz 2016, Salı

gerek yok hiç bir şey yemeyin; tartar zaten oluşmaz...

Misafir 08 Haziran 2018, Cuma

cevize falan gerek yok ki tartar dişini fırçalamadığın için oluyor dişini fırçala hiç bişey olmaz canımmm

Misafir 22 Ocak 2018, Pazartesi

hi̇çbi̇r bi̇ti̇şi̇k yazılır dostum, az di̇kkat

Misafir 22 Ocak 2018, Pazartesi

adamsin

Misafir 19 Temmuz 2016, Salı

kahverengi olan sert kabuğu kaynatacaksınız zaten yanlış anlaşılmasın :)

Misafir 18 Temmuz 2016, Pazartesi

yeşil kabuk yazmıyorki

Misafir 18 Temmuz 2016, Pazartesi

yalnız yazının sonuna dikkat, tartarların azaldığını göreceksiniz. yani hergün bu kadar uğraş ve biraz azalma göreceksiniz umudu vermiş.

Misafir 18 Temmuz 2016, Pazartesi

misvak diye bişey var bilmiyormusunuz yoksa ???

Misafir 22 Ocak 2018, Pazartesi

motorlu diş fırçası çok kompeks bir cihazmış gibi ağzının suyu akmış ama misfak nedir bir öğren. ozaman japonlar antibiyotik de buluyor niye hastalanınca adaçayının peşine koşuyorsun

Misafir 18 Kasım 2016, Cuma

kesinlikle misvak en güzel en yararlısı ve en önemlisi sünnet

Misafir 19 Temmuz 2016, Salı

misvak neye yarıyor ?

Misafir 18 Temmuz 2016, Pazartesi

japonlar motorlu diş fırçası buldu sen hala misvak diyorsun ya

Misafir 17 Temmuz 2016, Pazar

yeşil kabuk nerde yazıyor? ceviz kabuğu, ceviz kabuğu. hani sert olur, dış yüzeyini kaplar. arkadaşın birisi üstüne bile oturmuş, tarif bile ediyor baksana

Misafir 17 Temmuz 2016, Pazar

bunu yazan sadece şov yapıyor. yeşil ceviz kabuğu hem çok acıdır hem de elleri siyaha boyar ağzımızı bununla nasıl yıkaya biliriz?

Misafir 16 Temmuz 2016, Cumartesi

fırçala gitsin

Misafir 16 Temmuz 2016, Cumartesi

geçekçiligi ne kadar eger bir dis macunu eger o da olmazssa karbnattan dah mi iyi

Misafir 08 Haziran 2018, Cuma

diş macunu mu? uyandığında çok geç olacak maalesef.

Misafir 22 Ocak 2018, Pazartesi

abi sen bu yorumu yazarken darbe oluyormuş ..tarihe baktımda.. vallahi mahalle yansa saçını tarayan mahallenin ablası gibisin :)

Misafir 15 Temmuz 2016, Cuma

tek cevizi sert bir sandalyenin üstüne koyun sonra sandalyeye oturun, hiç bir derdiniz kalmayacaktır.

Misafir 18 Temmuz 2016, Pazartesi

hahahaha, koptum resmen.

Misafir 15 Temmuz 2016, Cuma

fırçalaaa

Misafir 15 Temmuz 2016, Cuma

ya kafayı mı yediniz ne yeşil kabuğu yeşil kabuk ne kadar acı tadıyo onun suyuyla ağız mı çalkalanır allah aşkına kim uydurdu bunu üstelik yeşil kabuk en dışta olduğu için pistir enfeksiyon kapılır adam akıllı açıklayın şunu ya da saçmalamayın

Misafir 22 Ocak 2018, Pazartesi

yeşil nerde yazıyor bir söylesene

Misafir 15 Temmuz 2016, Cuma

ne kadar gereksiz insan var arkadaş yapmıyosanız yapmayın niye boş boş konuşuyosunuz anlamıyorum :))))

Misafir 15 Temmuz 2016, Cuma

hiçbir şeye yaradığı yok

Misafir 15 Temmuz 2016, Cuma

arkadaş teknoloji kullanın.çeşit çeşit macun var yaa.kişisel duruma göre hassas falan doktor tavsiyesiyle al birini kullan günde 1 defa yatmadan önce sorun kalmaz.

Misafir 14 Temmuz 2016, Perşembe

yağda kavrulmuş ıspanak yiyin bir öğün. sonra ağzınızı çalkalayın temiz suyla. dişlerinizde tartardan eser kalmaz. haftada bir veya iki yiyin

Misafir 12 Mayıs 2016, Perşembe

cevizin satışı dütü heralde muhabbete bak ya :)

Misafir 11 Mayıs 2016, Çarşamba

bukadar basit

Misafir 11 Mayıs 2016, Çarşamba

günde 3 kere fırçala diyor. günde 3 kere değil 2 kere fırçalayan birinde zaten tartar olmaz. zahmet etmişsiniz.

Misafir 15 Temmuz 2016, Cuma

yok la bildiğin oluyor

Misafir 10 Mayıs 2016, Salı

cahiller furyası

Misafir 10 Mayıs 2016, Salı

harbiden yuhh be bu kadarmi okuma özürlüyüz

Misafir 27 Nisan 2016, Çarşamba

ben bişey anlamadım..diş fırçamı 20 dk o cevizli suda bekleteceğim ve sonrao fırçanın içinde bekleddiği suyu nasıl ağız için kullanacağım

Misafir 21 Nisan 2016, Perşembe

neden cevizli diş macunu yok :)

Misafir 21 Nisan 2016, Perşembe

hiç fırçalamayın misvak kullanın pırıl pırıl olacaktır

Misafir 22 Nisan 2016, Cuma

adamsın..70000 derde devadır mısvak dunya anladı biz anlayamadık hala..

Misafir 21 Nisan 2016, Perşembe

eskiden macun mi varidi insanların anatomisini bozdular hainler şidi eskilerin koca karı ilacları dedikleri şeyler sifa sasıyar masallah.sirke işi daha kolay cevizlen kim ugraşcak

Misafir 11 Mayıs 2016, Çarşamba

eski̇den i̇nsanlarin ağzinda da di̇ş yoktu.

Misafir 11 Mayıs 2016, Çarşamba

hemen deneyeceğim. ay-yıl

Misafir 20 Nisan 2016, Çarşamba

200 tane ceviz agacım var kırıp kırıp kaynatıcağım :d

Misafir 20 Nisan 2016, Çarşamba

dış kabuğumu sert kısmı mı diye soran arkadaşa cvp veriyor cevizin dış kabuğu varya hani kırıyosun işte o kısmı kullanacaksın ve bi daha hiç diş problemin kalmayacak ;)

Misafir 20 Nisan 2016, Çarşamba

kiminiz sert kabuğu diyorsunuz kiminiz yeşil kabuğu diyorsun hangisi doğru

Misafir 20 Nisan 2016, Çarşamba

ben size daha pratik ve kolay bir çözüm söyleyeyim kendim yapıyorum ve sonuç mükemmmel hergün kahvaltıdan sonra bir kaşık (çorba kaşığı) elma sirkesini 1 dakika boyunca ağzınızda çalkalayın sonrada dişlerinizi fırçalayın pırıl pırıl parladığını göreceksiniz..

Misafir 11 Mayıs 2016, Çarşamba

sadece cevizin kabunu yesek olmazmi??????

Misafir 21 Nisan 2016, Perşembe

bir süre sonra dişlerin eriyebilir,

Misafir 20 Nisan 2016, Çarşamba

yeşil olanını nerden bulacağız

Misafir 20 Nisan 2016, Çarşamba

köylerde bulabilirsin

Misafir 20 Nisan 2016, Çarşamba

hım

Misafir 20 Nisan 2016, Çarşamba

çeviz kabuğuna vereceğim para ile dişlerimi hekime temizletirim ona vakit olsa fırçalar zaten insan yada ceviz kabuğu almak için vakit harcar

Misafir 20 Nisan 2016, Çarşamba

tembel sen öyle yap

Misafir 20 Nisan 2016, Çarşamba

günde iki kere fırçalıyorum ama diştaşından kurtulamıyorum.denemekten zarar gelmez, etki bünyeye göre değişebilir...

Misafir 20 Nisan 2016, Çarşamba

ho ohohohoh

Misafir 19 Nisan 2016, Salı

ceviz kabuğundan kastınız yeşil olan mı yoksa sert kabuk kısmı mı? bunu anlayamadım

Misafir 26 Aralık 2017, Salı

sert kabuğu kardeşim

Misafir 19 Nisan 2016, Salı

cevizin yeşil kabuğu

Misafir 04 Nisan 2016, Pazartesi

günde 5 defa fırçalayın komple dökülsün rahat edin..

Misafir 20 Nisan 2016, Çarşamba

hahahahahahha :)

Misafir 19 Nisan 2016, Salı

:)

Misafir 04 Nisan 2016, Pazartesi

dişlerinizi kezzapla fırçalayın tartar martar oluşmaz kesin çözüm bu :)))hahahaha ceranimoooo

Misafir 02 Nisan 2016, Cumartesi

misvak kullanın, kesin ve kalıcı çözüm...

Misafir 03 Nisan 2016, Pazar

diş etlerimde tartardan dolayı çekilme vardı. aşırı derecede kanamalar da mevcuttu. bir arkadaşın tavsiyesi ile misvak kullanmaya başlayınca diş macunlarının ne kadar gereksiz hatta zararlı olduğunu anladım. meğer biz dişlerimizi temizliyoruz sanıyormuşuz. kesinlikle misvak öneriyorum

Misafir 01 Nisan 2016, Cuma

piyasadaki güvenilir diş macunu markalarının hiçbir zararı yoktur. aksine dişlerinizi onlar koruyacaktır. etkili fırçalama ile (diş etinizden, dişinize doğru, tersine ya da yanlara değil) günde 2 kez fırçalamanız tüm diş ve diş eti rhatsızlıklarını önleyecektir.

Misafir 22 Ocak 2018, Pazartesi

florür dişlere zarar veriyor

Misafir 05 Nisan 2016, Salı

kardeşim hepsinin içinde florür vardır istersen zararlarına bak en basitinden youtube florür yaz izle

Misafir 03 Nisan 2016, Pazar

kardeşim. acaba sen diş macunu üreten bir firmada mı çalışıyorsun ?

Misafir 01 Nisan 2016, Cuma

bu suyla gargara yapmak ta bademcik iltihabına iyi geliyor

Misafir 01 Nisan 2016, Cuma

günde 1 defa kesin fırçalarım, diş taşım da çok oluşuyor. kendisinde olmayan arkadaşlar, bu bünyeyle alakalı. ayrıca bu denilen formülü de kendim denedim, ve ben fayda göremedim, ama belki bi başkası görebilir, bilemem... denemek kimseye zarar vermez...

Misafir 01 Nisan 2016, Cuma

diş macunlarının deterjan içerdiğini, zararlı olduğunu bilmeyen kaldı sanıyordum

Misafir 01 Nisan 2016, Cuma

ceviz kabuğundan kastınız yeşil olan mı yoksa sert kabuk kısmı mı?

Misafir 22 Ocak 2018, Pazartesi

sert kabuğu 20 dk kaynat

Misafir 01 Nisan 2016, Cuma

bırakın günde 3 defayı günde 1 defa düzenli dişlerinizi fırçalarsanız diş taşı zaten oluşmaz illa bi antikalık olacak

Misafir 02 Nisan 2016, Cumartesi

aynen con waynen.. gnde1kez fırçlasa zaten tartar sorunu olmaz )

Misafir 01 Nisan 2016, Cuma

çok haklısın