HTHAYAT
BİRKAÇ KELİME YAZARAK SİZE YARDIMCI OLABİLİRİZ
Şekerden uzak durun!
Giriş: 13 Nisan 2015, Pazartesi 15:02
Güncelleme: 09 Temmuz 2018, Pazartesi 16:00
1

Gün içerisinde farkında olmadan yediğimiz bir sürü ürünün içerisinde şeker bulunuyor. Peki şekerden uzak durmazsak başımıza neler gelecek?

2

Bir oturuşta 16 tane kesme şekeri yiyebilir misiniz? Belki yiyebilir, belki yiyemezsiniz ama içeceğiniz bir kutu kolanın içinde bu kadar şeker var.

 

Şekeri 3 gün bırakırsanız ne olur?

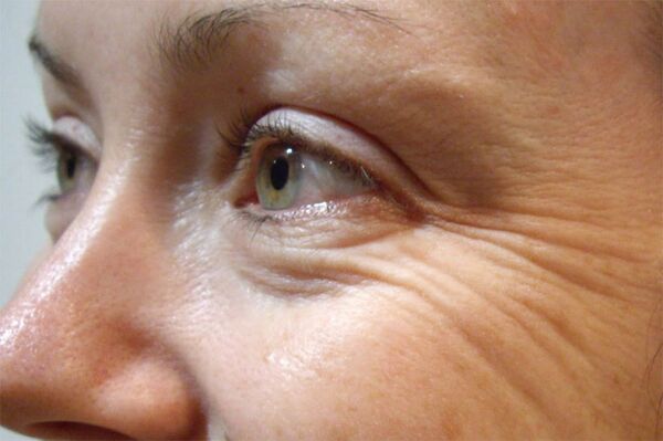
3

Şeker glikasyon olarak isimlendirilen bir süreç sayesinde cildinizin kırışmasına neden olabilir. Glikasyon süreci dermal  liflere zarar vermektedir. Bunun sonucunda cilt esnekliğini, canlılığını kaybeder, kırışıklıklar oluşur.

4

Şeker kalbinize zarar verebilir: 2013 yılında "Journal of the American Heart Association" isimli dergide yayınlanan araştırmada, şekerin kalbin pompalama mekanizmasını etkilediğine dair güçlü bir kanıt tespit edildi.

5

Şeker göbek çevresindeki yağ birikimini artırıyor: Ergenlik çağı obezitesi oranları son 30 yıl içinde 3 kat arttı. 2010 yılında çocuklar üzerinde yapılan bir araştırmaya göre, aşırı fruktoz tüketiminin iç organların fazla yağla kaplanmasına yol açtığı belirlendi. Göbek çevresindeki yağ aynı zamanda kalp ve şeker hastalığı riskini de artırıyor.

6

1. Şeker kanser hücrelerinin en çok sevdiği şeydir.

2. Şeker bağışıklık sisteminizi zayıflatır.

3. Şeker vücudunuzun mineral dengesini bozabilir.

4. Şeker çocuklarda hiperaktivite, endişe, dikkat bozukluğu ve huysuzluğa sebep olabilir.

5. Şeker çocuklarda uyuşukluğa sebep olabilir.

6. Şeker çocukların okul başarısını olumsuz etkileyebilir.

7. Şeker trigliserit seviyesinde belirgin bir artışa sebep olabilir.

 

7

8. Şeker bakteri enfeksiyonları na karşı savunma sistemini zayıflatabilir.

9. Şeker böbreklere ciddi şekilde hasar verebilir.

10. Şeker krom eksikliğine yol açabilir.

11. Şeker bakır eksikliğine yol açabilir.

12. Şeker kalsiyum ve bakır emilimini engeller.

13. Şeker meme, yumurtalık, prostat ve rektum kanserine yol açabilir.

14. Şeker kadınlarda daha büyük risk oluşturmak üzere, kolon kanserine sebep olabilir.

15. Şeker safra kesesi kanseri için risk faktörü olabilir.

16. Şeker gözleri bozabilir.

8

17. Şeker serotonin seviyesini yükseltir; bu da kan damarlarını daraltabilir.

18. Şeker Hipoglisemiye sebep olabilir.

19. Şeker midenin asidik olmasına yol açabilir.

20. Şeker çocuklarda adrenalin seviyesini artırabilir.

21. Şeker koroner kalp hastalığı riskini artırabilir.

22. Şeker ciltte kuruma ve saç beyazlamasına yol açarak yaşlanma sürecini hızlandırabilir.

23. Şeker alkol bağımlılığına yol açabilir.

24. Şeker diş çürüklerini artırabilir.

25. Şeker kilo alımı ve aşırı şişmanlığa katkıda bulunabilir.

9

26. Yüksek miktarda şeker yemek Crohn's hastalığı ve ülseratif kolit riskini artırır.

27. Şeker kireçlenmeye sebep olabilir.

28. Şeker astıma sebep olabilir.

29. Şeker mantar enfeksiyonları na sebep olabilir.

30. Şeker safra taşı oluşmasına yol açabilir.

31. Şeker böbrek taşı oluşmasına yol açabilir.

32. Şeker istemik kalp hastalığına yol açabilir.

 

10

33. Şeker apendisite yol açabilir.

34. Şeker Multipl Skleroz (MS) hastalığının belirtilerini şiddetlendirebilir.

35. Şeker dolaylı olarak hemoroide yol açabilir.

36. Şeker damarlarda varise yol açabilir.

37. Şeker osteoporoz oluşumuna katkıda bulunabilir.

38. Şeker salya asiditesine katkıda bulunabilir.

39. Şeker insülin sensitivitesinde düşüşe sebep olabilir.

40. Şeker glikoz toleransının düşmesine sebep olur.

41. Şeker büyüme hormonunu azaltabilir.

 

11

41. Şeker büyüme hormonunu azaltabilir.

42. Şeker toplam kolesterolü artırabilir.

43. Şeker sistolik kan basıncını artırabilir.

44.Şeker gıda alerjilerine sebep olur.

45. Şeker diyabet oluşumuna katkıda bulunabilir.

46. Şeker hamilelikte kan zehirlenmesine yol açabilir.

47. Şeker çocuklarda egzama oluşuma katkıda bulunabilir.

48. Şeker kardiyovasküler hastalığa sebep olabilir.

49. Şeker DNA yapısını bozabilir.

50. Şeker katarakta sebep olabilir.

51. Şeker amfizeme sebep olabilir.

 

12

Tüm sorunları çözecek kaşık bulundu; delikli kaşık!

Paylaş:
brush-purple Yorumlar
Misafir 16 Haziran 2015, Salı

yani buradaki asıl sorunun pancar şekerinden elde edilen dogal seker değilde mısır şurubu olduğunu hala anlayamıyorsunuz.doğal şeker düşmanımız değil asıl düşmanımız mısır şurubu ,nişasta bazlı şeker, fruktoz şurubu.