HTHAYAT
BİRKAÇ KELİME YAZARAK SİZE YARDIMCI OLABİLİRİZ
1

Yanlış 1: Beynimizin yalnızca yüzde 10'u kullanırız.

Doğru 1: Beyin zarının büyük bir kısmı, biz uyuyor olsak bile tam kapasite çalışır.

 

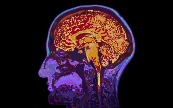
2

Yanlış 2: Yetişkin olduğunuzda beyin hücreleri gelişimini durdurur.

Doğru 2: Nöronlar tüm insan yaşamı boyunca gelişir ve değişirler.

3

Yanlış 3: Karanlıkta okursanız ya da sürekli ekrana bakarsanız gözünüz bozulur.

Doğru 3: Öyle yaptığınızda gözleriniz yorulur ama dinlendikten sonra kendini toparlar.

4

Yanlış 4: Saç kırıkları bakım şampuanı ya da kürlerle düzeltilebilir.

Doğru 4: Saç kırıklarından ancak keserek kurtulabilirsiniz.

5

Yanlış 5: İnsanların sadece beş duyusu vardır; görme, işitme, tatma, dokunma, koklama.

Doğru 5: İnsanların en az 21 duyusu vardır. Isı ve denge hisleri bunlara örnektir.

6

Yanlış 6: Hava soğukken soğuk algınlığına yakalanmak oldukça kolaydır.

Doğru 6: Soğuk algınlığının hava sıcaklığıyla bir alakası yoktur, virüsten kaynaklanırlar.

7

Yanlış 7: Hapşırdığımız zaman kalbimiz o an için çarpmaz.

Doğru 7: Hapşırırken kalp ritmimiz değişebilir ama hiçbir zaman durmaz.

8

Yanlış 8: Alkollü içecekler ısınmanızı sağlar.

Doğru 8: Alkollü içecekler damarlarınızı açar, bu da sizin daha sıcak hissetmenize yol açar.

9

Yanlış 9: Terleyerek vücudunuzdaki toksinleri atabilirsiniz.

Doğru 9: Ter bezleri çalıştıkça vücudunuzda gevşeme yaratır.

 

10

Yanlış 10: Havuç görmeyi güçlendirir.

Doğru 10: Havuç kas yıpranmalarını önlemeye iyi gelir ama görmeyle herhangi bir ilgisi yoktur.

11

Yanlış 11: Sağlıklı dişler mükemmel beyazlıkta olmalı.

Doğru 11: Dişlerin doğal rengi açık sarıdır.

12

Yanlış 12: Yanığın üzerine zeytinyağı sürerseniz daha hızlı iyileşir.

Doğru 12: Yanığın üzerine soğuk bir şey sürmelisiniz, zeytinyağı sürerseniz yanığın üzerine bir film çekecek ve ısıyı içinde tutacaktır.

 

 

Paylaş:
brush-purple Yorumlar