Bir bebek nasıl oluşur?
Fotoğrafçı Lennart Nilsson, özel yöntemler kullanarak spermin yumurtayla buluşmasından doğuma kadar, bir bebeğin oluşmasının ilginç aşamalarını görüntüledi.
-
Fotoğrafçı Lennart Nilsson, özel yöntemler kullanarak spermin yumurtayla buluşmasından doğuma kadar, bir bebeğin oluşmasının ilginç aşamalarını görüntüledi.
Vajina kanalında rahim ağzına doğru ilerleyen spermler.
İçlerinden sadece biri (ya da ikiz-üçüz olacaksa, birkaçı) yumurta hücresine ulaşabilecek.
1 / 30
-
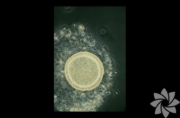
Spermler yumurta hücresinin etrafını sarmışlar!
2 / 30
-
Fallop tüpü olarak bilinen kanalda seyahat eden bir sperm hücresi.
3 / 30
-
Bir sperm hücresi, yumurta hücresine girmek üzere.
4 / 30
-
Fallop tüpü
5 / 30
-
Ve kazanan belli oldu! bu sperm yumurtaya ulaşmayı başardı ve yumurta döllenmeye hazır.
6 / 30
-
Yumurtaya doğru ilerleyen sperm...
7 / 30
-
Hücre artık rahmin içinde...
8 / 30
-
Rahim yüzeyine tutunan oluşuma artık blastokist deniyor.
9 / 30
-
Döllenmeden 8 gün sonra, rahim duvarına tutunmuş embriyo.
10 / 30
-
Embriyoda beyin oluşmaya başlıyor.
11 / 30
-
24. gün. Embriyonun hala bir iskeleti yok ama kalbi atmaya başladı.
12 / 30
-
5. hafta ve bebek yaklaşık 9 mm boyunda. Yüzü hala belli değil ama burun ve gözler için yer oluşmaya başladı.
13 / 30
-
6. hafta. Artık kollar, bacaklar ve baş belirginleşti. Plasenta da bebekle birlikte büyüyor.
14 / 30
-
40 günlük plasenta.
15 / 30
-
7. hafta
16 / 30
-
7. hafta
17 / 30
-
16. hafta
18 / 30
-
16. hafta, bebeğin elleri-ayakları belirginleşiyor.
19 / 30
-
16. hafta
20 / 30
-
Kan damarları incecik derinin altında gözüküyor ve bacaklar hareket ediyor!
21 / 30
-
18. hafta
22 / 30
-
19. hafta
23 / 30
-
20. hafta
24 / 30
-
24. hafta
25 / 30
-
26. hafta
26 / 30
-
6 aylık
27 / 30
-
36 haftalık. Doğuma sadece 4 hafta kaldı!
28 / 30
-
Kalp hücreleri
29 / 30
-
İsveçli sanatçı Lennart Nilsson, "bilimsel fotoğrafları" ile tanınan ünlü bir fotoğrafçı. Özel lensler ve kameralar kullanarak çektiği rahim fotoğraflarının ilkini 1965'te yayınlamıştı.
30 / 30
YORUMLAR