HTHAYAT
BİRKAÇ KELİME YAZARAK SİZE YARDIMCI OLABİLİRİZ
Daha beyaz dişler için 9 öneri...
Giriş: 21 Ocak 2014, Salı 17:02
Güncelleme: 05 Şubat 2014, Çarşamba 13:31
1

Sarı dişler, gülüşünüzün en büyük düşmanıdır. Diş beyazlatma ürünleri arasında en iyisini bulmak da zor olabilir.

2

1. Vaktiniz yoksa

Ruj işinize yarayabilir. Bazı renkler kontrast yaratarak dişleriniz olduğundan daha beyaz gösterebilir. Dişleriniz sarıysa, açık kırmızı ya da sakız pembesi tonlarını deneyin. Eğer dişleriniz grimsi bir renkteyse, bakır ya da bronz tonlarını kullanın.

3

2. Dişlerinizi temizletin

Diş hekiminiz, dişlerinizin üzerindeki pelikül tabakasını temizleyerek dişlerinizin beyaz ve parlak görünmesini sağlar.

4

3. Su için

Sabah kahvenizi su ile değiştirin. Kahvedeki partiküller, dişleriniz üzerindeki biofilme yapışır ve zaman içinde renk değişimine neden olur. Bir şeyler yedikten sonra dişlerinizi fırçalamanız da, diş minesine zarar verip diş rengini bozabilir.

5

4. Diş hekiminizle görüşün

Üç dört günde bir gideceğiniz ziyaret ile dişlerinizi uzun süreli beyazlatabilirsiniz. 30 dakikalık seanslarla uygulanacak karbamid peroksit ile dişleriniz beyazlayacaktır. Bu beyazlatma bir yıl süreyle kalıcı olabilir.

6

5. Elektrikli diş fırçası kullanın

Hareketli fırça ile diş lekeleri daha kolay çıkabilir. Beyazlatıcı bir diş macunu ile birlikte kullandığınızda daha iyi sonuç elde edersiniz.

7

6. Beyazlatıcı şerit kullanın

Beyazlatıcı şerit ile diş beyazlığı sağlayabilirsiniz. Yedi gün içinde farkı kendi gözlerinizle görebilirsiniz.

8

7. Beyazlatıcı kalıplar

Diş hekiminizle konuşup evde kullanabileceğiniz beyazlatıcı diş kalıplarını kullanabilirsiniz. En güvenli ve en etkili yöntem budur. Günde bir iki saat dişlerinize geçireceğiniz karbamid peroksit jel içeren kalıp ile kısa sürede sonuç elde edebilirsiniz. Şeritlerin aksine, diş etine zarar gelme riski de yoktur.

9

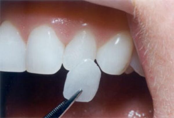
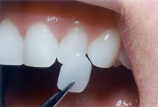
8. Kozmetik çözümler

Biraz pahalı olsa da, diş beyazlatmada kozmetik bir çözüm var. Dişlerinizin üzerine yapılan ince porselen kaplama ile bembeyaz dişlere sahip olabilirsiniz. Ancak bunu diğer çözümler işe yaramadığında son çare olarak düşünün.

10

9. Sağlıklı hijyenik alışkanlıklar edinin

Düzenli fırçalama ve diş ipi kullanımı, beyazlatma kadar heyecan verici gelmese de, diş rengi kadar sağlığı da önemlidir. Fırçalama, diş ipi kullanımı ve düzenli diş hekimi ziyareti ile bakterilerin üremesini önler ve dişlerinizi beyaz, temiz ve sağlıklı tutabilirsiniz.

Paylaş:
brush-black

Yorumlar

brush-

İlgili Haberler